
Patient
Female
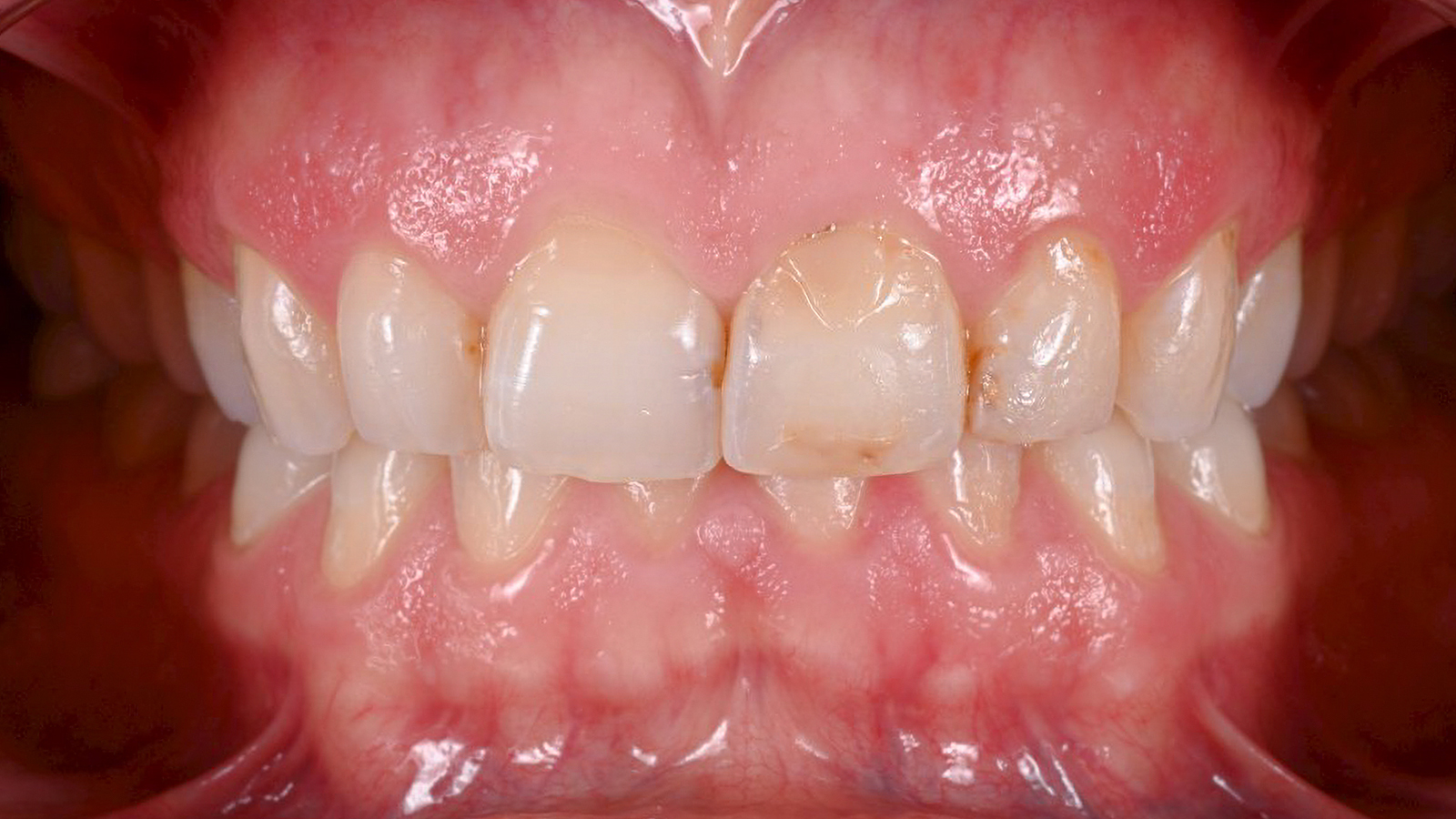
This case presented significant challenges. Several years ago, the patient fainted and fell, resulting in broken front teeth that were replaced with implants. When implants are positioned improperly, it can lead to the loss of the gum triangle between the teeth, making the implants appear thick and bulky, regardless of the quality of the ceramic.
The good news is that modern extraction techniques, combined with sedation options and our advanced technology, make the procedure far more comfortable than you might expect. Following your extraction, we'll discuss the best tooth replacement options to restore both the function and aesthetics of your smile.


Before
After





