Top-rated Prosthodontist in Lake Nona, Orlando
Nation Top 10% Lifetime Achievement Award
Dr. Elizabeta Cokovska is a world-renowned board certified Specialist Prosthodontist and the founder of Makris Dental Prosthodontics, located in the heart of Lake Nona Medical City, Orlando, FL. With over 30 years of advanced clinical experience, she blends science, artistry, and uncompromising standards to deliver life-changing smiles, earning praise from patients as providing the best dental experience in the area.
Trained across two continents, she holds two Master’s degrees and two specialty degrees in Prosthodontics, including advanced post-doctoral education at Boston University, Dr. Cokovska specializes in complex restorations, dental implants, full-mouth rehabilitation, and cosmetic dentistry. She founded Makris Dental Prosthodontics to create a state-of-the-art, luxury practice where personalized care, innovation, cutting-edge technology and patient comfort redefine modern dentistry in Lake Nona and greater Orlando.
"Trusted as Orlando’s Top-Rated Prosthodontist."
Highlights:
Recipient of the Nations Top 10% Lifetime Achievement Award in Prosthodontics
Recognized as Orlando's Dentist of the Year
30+ Years of Specialized Clinical Experience in Prosthodontics
Published Author
Speaker at National Dental Conferences
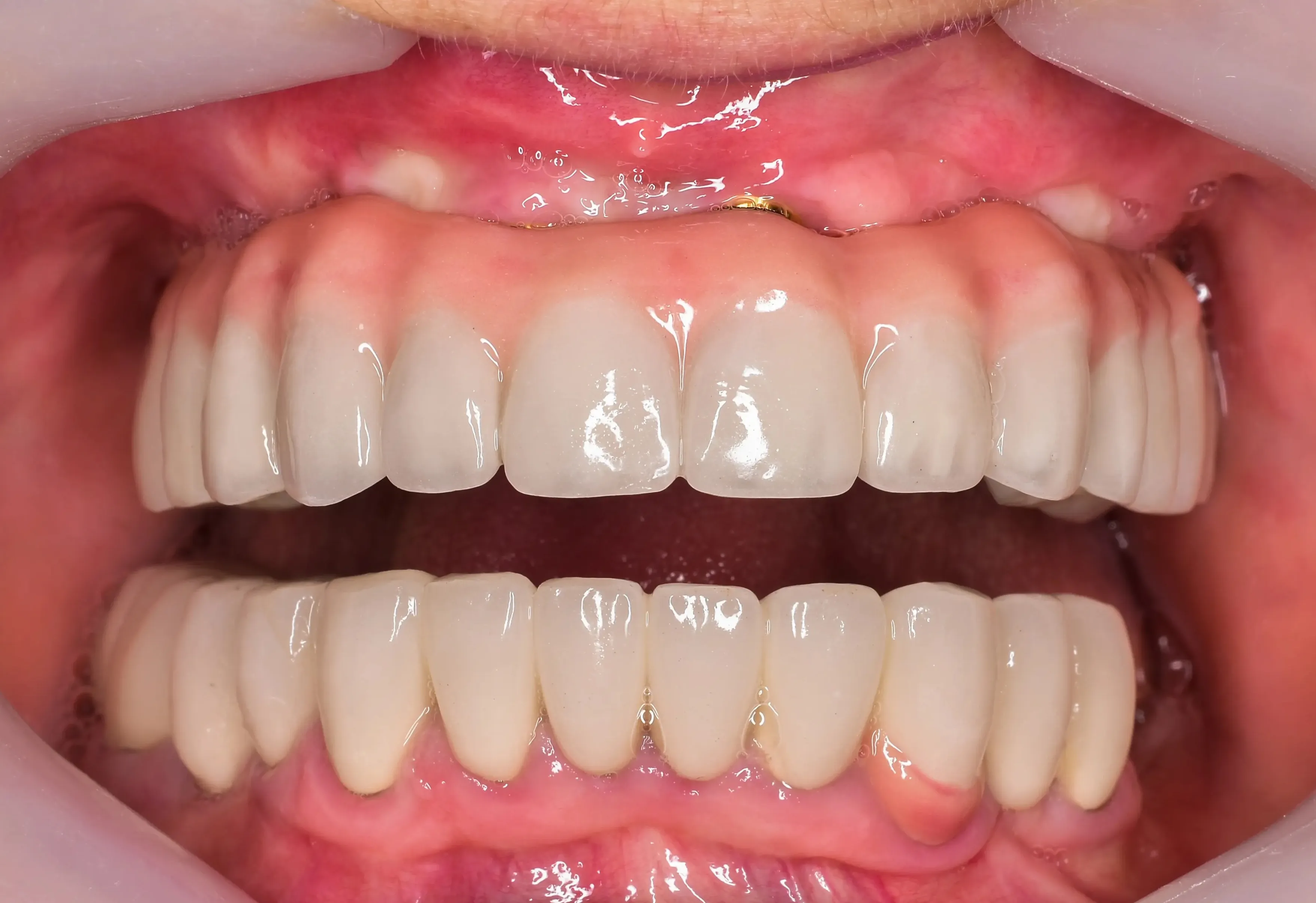
Incredible Before and After Smile Transformation
This dramatic smile makeover showcases the exceptional skill of Dr. Elizabeta Cokovska, Board-certified Specialist Prosthodontist and founder of Makris Dental Prosthodontics in Lake Nona, Orlando, FL.
15
30


At Makris Dental, Technology, Expertise, and Care come together to create your perfect smile efficiently, comfortably, and beautifully.
OUR SIGNATURE SERVICES
Discover the advanced dental solutions our patients trust most. From cutting-edge implant procedures to comprehensive restorations

All-On-X (full dental implant bridges)

Dental Implant

Full Mouth Reconstruction

Porcelain Crowns

Veneers

Full & Partial Dentures
Real Transformations from our patients
Discover the advanced dental solutions our patients trust most. From cutting-edge implant procedures to comprehensive restorations
Why Patients Trust Us
Experience total peace of mind knowing your dental care is built to last. From start to finish, we’re committed to exceptional quality, personalized attention, and results that exceed expectations.
Permanent Results in Just 24 Hours
Our Same Day Smile treatment lets you walk into our office with missing or damaged teeth and leave the very next day with a confident, natural-looking smile — all in as little as 24 hours. Using advanced zirconia restorations and cutting-edge technology, we deliver permanent, durable, and beautifully natural results without long waiting periods or multiple visits. It’s a convenient, comfortable way to achieve a brand-new smile you’ll love to share.

Specialist Expertise You Can Trust
Your smile deserves the care of a true specialist. At Makris Dental Prosthodontics, every treatment is led by Dr. Cokovska, a prosthodontist with 30+ years of advanced training in cosmetic, implant, and reconstructive dentistry. Dr. Cokovska combines precision, artistry, and compassion to create lasting results. Patients choose us because they know their smiles are in the hands of someone with unmatched knowledge and experience.

Advanced Technology for Precise, Lasting Smiles
At Makris Dental Prosthodontics, we use the latest technology to make your treatment more precise, efficient, and comfortable. With innovations like 3D-guided implant placement and digital smile design, we can plan every detail in advance, ensuring results that are natural-looking, long-lasting, and tailored to you.
.webp)
A Practice Built Around You
From your first consultation to your final result, our team is dedicated to making every step of your dental journey positive. Whether you need advanced restorative work, cosmetic enhancements, or complete smile reconstruction, we’re here to provide the expertise and support you deserve.

Tailored to You
No two smiles are alike — and neither are our treatments. At Makris Dental Prosthodontics, we take time to listen, understand your goals, and create a personalized plan that’s designed just for you. With multiple treatment options and thorough consultations, you’ll always feel confident in your path to a healthier, more beautiful smile.

Your Satisfaction is Our Priority
Our patients say it best. From compassionate care to life-changing results, we’re proud to be trusted by countless individuals who now smile with confidence. With consistent 5-star reviews praising our attention to detail, personalized treatment, and lasting outcomes, you can feel assured that your smile is in the best hands.

Where You Go for Advanced Dental Care Matters
At Makris Dental, we combine decades of expertise with cutting-edge technology to provide an elevated, patient-first experience. Every smile we design is backed by precision, comfort, and a genuine commitment to your satisfaction.
Makris Dental prosthodontics
VS
Other Clinics
Customized treatment plans tailored to your smile, comfort, and goals.
One-size-fits-all treatment options.
In-house team of specialists and lab working under one roof.
Multiple referrals between different offices.
Advanced 3D imaging and guided navigation for flawless precision.
Standard imaging and manual techniques.
Permanent zirconia restorations delivered in as little as 24 hours.
Weeks or months of waiting for outsourced lab results.
Comfortable, relaxing environment with modern sedation options.
Limited sedation or outdated comfort care.
30+ years of experience and thousands of successful cases.
Inconsistent results depending on provider experience.
Continuous care, clear communication, and long-term relationships.
Minimal follow-up or aftercare.
Explore Our Full Range Of Dental Specialties
From advanced implant dentistry and full mouth reconstruction to cosmetic enhancements and general care, Dr. Cokovska offers comprehensive treatment options tailored to your unique needs, all under one roof for your convenience.
Permanent Solutions for Missing Teeth
Experience the gold standard in tooth replacement at Makris Dental. Dr. Cokovska specializes in advanced implant solutions using cutting-edge technology including 3D guided placement for precision results. From single tooth replacements to full arch reconstructions in just 24 hours, these permanent restorations look, feel, and function just like natural teeth.

Your Foundation for Lifelong Oral Health
Comprehensive dental care focused on prevention, early detection, and maintaining your smile's health. From routine cleanings and exams to treating gum disease and dental emergencies, Makris Dental provides expert care with a proactive approach to help you achieve optimal oral health for life.

Transform Your Smile, Transform Your Confidence
Discover personalized cosmetic dentistry that brings your dream smile to life. Dr. Cokovska combines artistry with advanced technology to create stunning, natural-looking results tailored specifically to you. Whether brightening, straightening, or completely redesigning your smile, achieve the confident look you've always wanted.

Rebuild and Restore Your Smile's Strength
Repair damaged, decayed, or missing teeth with restorative solutions that look natural and last for years. Using the latest materials and techniques, Dr. Cokovska restores not just your smile's appearance, but your ability to eat, speak, and smile comfortably while protecting your long-term oral health.

Find Relief from Jaw Pain and Headaches
Experience specialized care for TMJ disorders, teeth grinding, and bite problems. Dr. Cokovska uses advanced diagnostic techniques to identify the root cause of your discomfort and develop personalized treatment plans that provide lasting relief, restore comfort, and protect your teeth.

Start Your Care Journey With Confidence

First Time Patients
Prepare For Your Visit
Financing
Explore Options
Advanced Technology, Exceptional Care
Relaxing Amenities
learn more

Advanced Technology
learn more
.webp)
In house Lab
learn more

Request Consultation
We are available for immediate scheduling for all patients.

.webp)










.webp)
.webp)













